other
ニュース
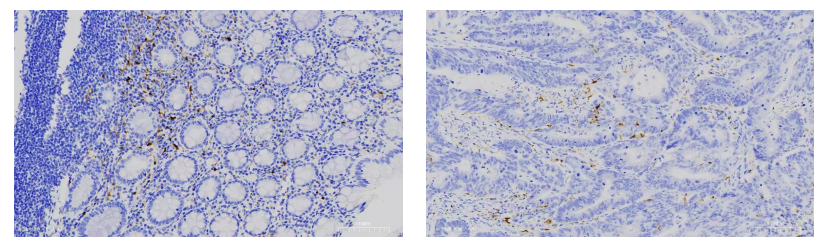
Introducing Our New Anti-IL-6 Antibody for IHC --- See IL-6 at the Cellular Level 2026-03-24

Tired of only seeing IL-6 in blood tests? Our new antibody lets you visualize exactly which cells produce IL-6 directly in tissue sections.


Key Applications

· Castleman Disease Differentiates subtypes (plasma cell vs. hyaline vascular) by showing IL-6 in plasma cells and/or endothelial cells

· Tumor Research Identifies IL-6-producing cells in cancer microenvironment—correlates with aggressive disease

· Inflammatory Diseases Maps local IL-6 activity in colitis, arthritis, and psoriasis tissues

· Animal Models Validates IL-6 induction in LPS-treated or infected tissues

Why Choose Our Antibody

· Works on paraffin sections

· Clean staining—minimal background

· High sensitivity

· Short lead time



伝言を残す

伝言を残す
当社の製品に興味があり、詳細を知りたい場合は、ここにメッセージを残してください。できるだけ早く返信いたします。

製品

だいたい

コンタクト